Introduction
Sarcoidosis is a systemic granulomatous disease of unknown etiology characterized by the chronic inflammation. Mucosa associated lymphoid tissue (MALT) lymphoma is a low-grade marginal zone B-cell lymphoma of MALT often etiologically associated with chronic inflammation in the underlying organ. A rare association between sarcoidosis and MALT lymphoma has been reported.
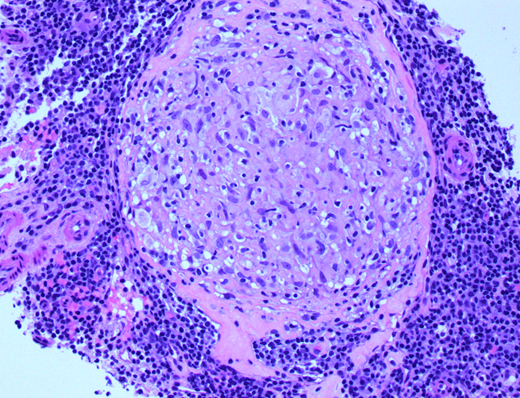
Case Description
We present the case of a 75-year-old woman who presented with chronic cough and dyspnea of several years' duration. She was found to have fluctuating lung infiltrates on serial imaging studies. A bronchial biopsy revealed chronic inflammation, and no evidence of infection. She was then treated with oral steroids with a transient benefit. However, the infiltrate and symptoms recurred, therefore 8 months later, she underwent repeat imaging. This showed a relapse of the infiltrate and enlarged mediastinal lymphadenopathy. The lung infiltrate was biopsied (percutaneously). This demonstrated a MALT lymphoma. Imaging studies done for staging showed a large retroperitoneal lymph node. A biopsy of this node revealed non-caseating granulomas, consistent with sarcoidosis. Chemotherapy with bendamustine and rituximab was initiated for therapy of the MALT lymphoma.
Discussion
A rare association between pulmonary MALT lymphoma and underlying inflammation caused by sarcoidosis has been previously described. In our patient, sarcoidosis was diagnosed in a biopsy of a retroperitoneal lymph node, but we suspect that there is likely involvement of the mediastinal nodes.
Rao:Bayer & Daiichi Sankyo:Consultancy.Daniel:GSK:Other: Paid speaker for COPD medications.
Author notes
Asterisk with author names denotes non-ASH members.

This feature is available to Subscribers Only
Sign In or Create an Account Close Modal